[RESOLVED] The issue of incomplete brain after dwi_dtifit

Hi, all

After running the dwi_dtifit, I found that two subjects had incomplete brain when checking the data of dti_FA, dti_MD, etc., as shown in the following two examples.

Example 1:

Example 2:

I want to know what caused it and how to solve it. And which parameters need to be modified to correctly extract the complete brain.

Below is my batch processing code:

        qunex_container hcp_diffusion \\

            --sessionsfolder="${WORK_DIR}/${STUDY_NAME}/sessions" \\

            --batchfile="${WORK_DIR}/${STUDY_NAME}/processing/batch.txt" \\

            --parsessions="${PARSES}" \\

            --bind="${SDIR}:${SDIR}"  \\

            --hcp_dwi_echospacing="0.000560011" \\

            --container="${QUNEX_CONTAINER}" \\

            --cuda_path="${WORK_DIR}/cuda-10.2" \\

            --overwrite="no" \\

            --nv  ;
            qunex_container dwi_dtifit \\

              --sessionsfolder="${WORK_DIR}/${STUDY_NAME}/sessions" \\

              --sessions="${SUBJ}" \\

              --save_tensor="yes" \\

              --kurt="yes" \\

              --kurtdir="yes" \\

              --bind="${SDIR}:${SDIR}"  \\

              --container="${QUNEX_CONTAINER}" \\

              --overwrite="no"

            ;;

Many thanks for help!

Best, Kelly

Hi,

Do the inputs and outputs for the hcp_diffusion look good? There is a specialized run_qc command for diffusion that can maybe also help here.

Best, Jure

Hi, Jure

The results of run_qc_dwi are as follows, it seems to have some problems. However, I don’t know how to find the cause of this problem and solve it.

Example1:

avg_b0:

Example2:

avg_b0:

Many thanks!

Best, Kelly

Seems like an issue with input data. Try openning the raw diffusion data in a nii viewer to verify this. My guess is that there is something wrong with the data. I don’t think what you are seeing in example 1 can be salvaged. Usually such sessions need to be removed from the study

Best, Jure

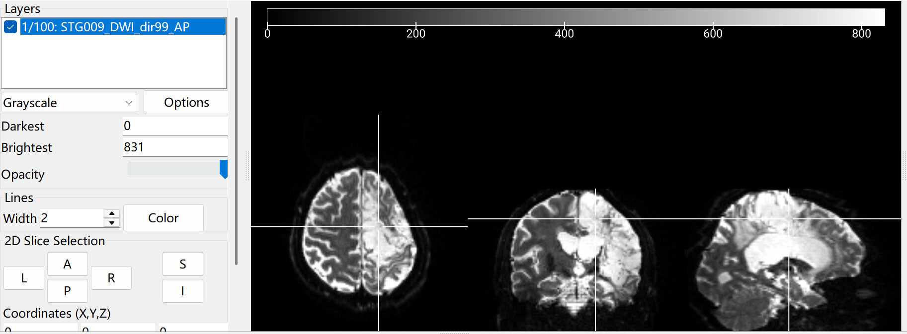
Hi, Jure

The following is the raw diffusion data of example 1. These data come from stroke patient, so his brain exhibit this characteristic. In this situation, will the above situation always occur when handling hcp_diffusion? If it’s possible to avoid data loss, I’d still like to try my best to preserve the data.

Thanks a lot!

Best, Kelly

Hm, FreeSurfer steps support some kind of hand editing and masking where you can make the processing work on such data with some tedious manual editing. However, I am not sure about the diffusion pipeline.

Maybe ask on the HCP users group. If diffusion processing can be used and it it even makes sense to perform diffusion on such data. Difussion modelling is based on the physics of how water diffuses in healthy tissue, so maybe there is no way to work with this. But this is outside of my expertise, best to check on the HCP users group. Or even FSL mailing list as the core preprocessing step is FSL’s eddy.

Best, Jure